





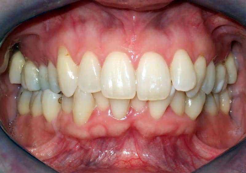
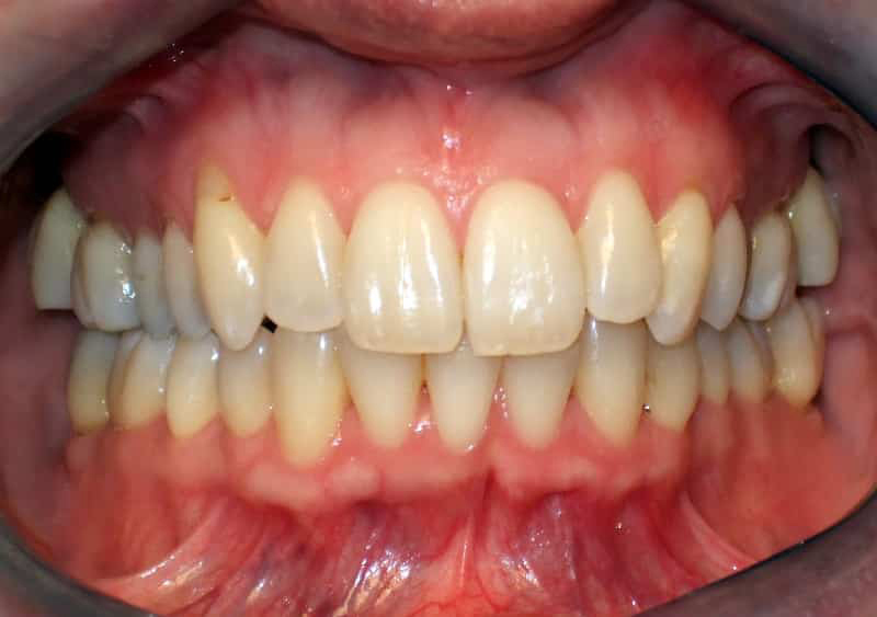
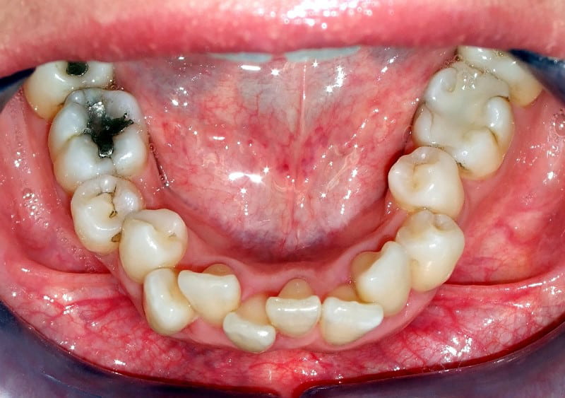
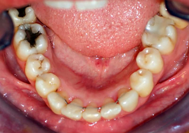
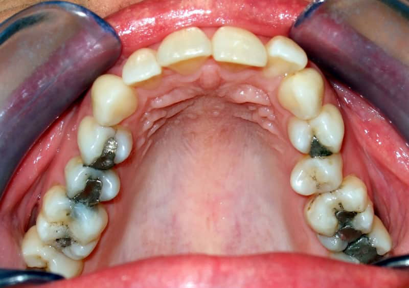
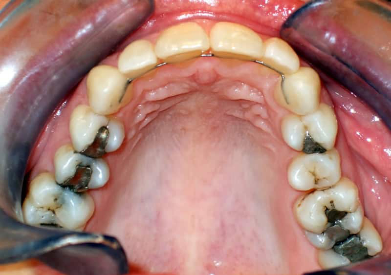
Την ασθενή απασχολούσε κατά κύριο λόγο η επιδείνωση του συνωστισμού των κάτω προσθίων δοντιών. Λόγω της καλλιτεχνικής φύσης του επαγγέλματός της, επιθυμούσε μεν να βελτιώσει και την εικόνα των προσθίων δοντιών της στην άνω γνάθο, αλλά με τον πιο σύντομο και διακριτικό τρόπο. Η θεραπεία στην οποία καταλήξαμε περιλάμβανε την τοποθέτηση ναρθήκων στην άνω γνάθο, και στην κάτω γνάθο την εξαγωγή ενός τομέα και την εφαρμογή αισθητικών ακίνητων μηχανισμών. Η διάρκεια της θεραπείας ήταν 6 μήνες για την άνω και 12 μήνες για την κάτω γνάθο, ενώ η συγκράτηση (σταθεροποίηση) έγινε με συνδυασμό ακίνητων (όπως φαίνονται στις τελικές φωτογραφίες στην εσωτερική επιφάνεια των προσθίων δοντιών) και κινητών μηχανισμών κατά τη διάρκεια του ύπνου.